Center for Progressive Dentistry
A Great Dentist
Center for Progressive Dentistry
A Great Dentist
Schedule an Appointment
Like us on Facebook
Visit us on Yelp
Watch our Youtube Videos
Leave a Google Review
Bing
FourSquare
(781) 934-9444
info@centerforprogressivedentistry.com
33 Enterprise St., Suite 9 • Duxbury, MA
Pay Now
Home
Meet the Team
Our Team
Technology
Office Tour
Our Services
View All
Porcelain Veneers
Cosmetic Dentistry
Root Canals
Dental Implants
Full & Partial Dentures
Emergencies
Extractions and Bone Grafts
Dental Cleanings & Exams
Crowns & Bridges
Sedation Dentistry
Smile Gallery
Testimonials
Patient Info
View Patient Info
Forms
Financial
FAQs
View All
Other
Cosmetic Dentistry
Crowns & Bridges
Dental Cleanings & Exams
Dental Implants
Full & Partial Dentures
Root Canals
Blog
Contact Us
Center for Progressive Dentistry
>
Smile Gallery
>
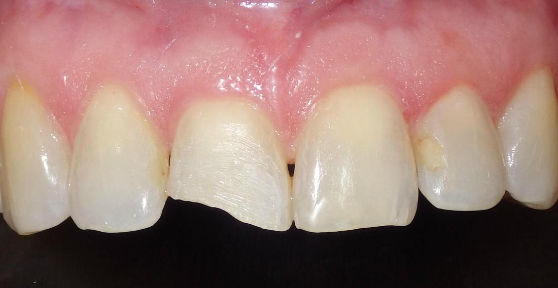
Cosmetic bonding to fix broken front tooth
Meet the Doctors
Smile Gallery
Tour the Office
Patient Reviews
Cosmetic bonding to fix broken front tooth
Return to Smile Gallery
Previous
Next
Our patient Jane chipped her front tooth in an accident. One visit later, cosmetic bonding was completed to restore the tooth. It blends in naturally and will continue to shine for years to come.
Related Services:
Cosmetic Dentistry
Drag the arrows back and forth to view complete Before and After views
Ready to book an appointment?
Schedule Now
If you have difficulty using our website, please
email us
or call us at
(781) 934-9444
View the
ADA Accessibility Statement
Turn on ADA Views
OK!
×
×
Contact Us Today
Give Us A Call
Center for Progressive Dentistry -
(781) 934-9444
Schedule an Appointment
Contact Us
Ready to Schedule an Appointment?
Schedule an Appointment
Have Questions? Contact Us:
Required Field
Your Name:
Phone:
Email:
Are you a new patient?:
Are you a?
New Patient
Current Patient
How would you like us to contact you?
Please choose
Email
Call
How did you hear about us?
Please choose
I'm an existing patient
Google/Bing
Mailer
Word of mouth
Social media
Other
Who Referred You?:
Appointment Preferences
Monday
Tuesday
Wednesday
Thursday
Friday
Your Message:
This site is protected by reCAPTCHA and the Google
Privacy Policy
and
Terms of Service
apply.
Sending...
×
This Patient's Experience
Loading Testimonial...
Loading Case...