Smile Gallery
Take a look at a sample of the work we offer at Center for Progressive Dentistry. All photographs are of actual patients treated by Dr. Scardella and Dr. Santelli. We create beautiful smiles with bonding, crowns, implants, veneers, and dentures. Call to schedule a consultation if you want to smile like our happy patients.


Our patient had been self-conscious about his smile for a long time. He finally made the choice to invest in his smile. Dr. Scardella used zirconia crowns to achieve beautiful and long-lasting results. Zirconia is a ceramic material with superior strength and elegant aesthetics. The case was custom designed by our long-time dental laboratory partners at Sunrise Dental Lab in California.


Although we ended up restoring almost every tooth for our patient, it was done in stages to spread out the cost of treatment and make appointments shorter and more manageable. The end result is just what our patient wanted- a bright smile with all teeth matching in color.




Dr. Scardella teamed up with a local orthodontist to help change our patient's smile. First, the teeth had to be moved into the proper position. Then crowns were done to change the patient's bite and appearance and restore the broken teeth. His transformation is complete.




Sandra considered fixing her teeth for years and with the support of her husband, she finally made the decision to take action. Now she can't stop smiling!


It's amazing what treating just six teeth can do to a smile. These crowns are made out of a ceramic material called zirconia, which is just a strong as it is beautiful. We partner with a premier dental lab that helps us deliver results like this consistently.


Our patient's teeth were severely worn and broken. Dr. Scardella removed any hopeless teeth and replaced them with dental implants, while the remaining teeth were restored with porcelain crowns.




We are so happy with the results for our patient. Full mouth dental implants completely changed his smile and appearance. The dental implants are restored with a material called zirconia, which is both strong and beautiful. Amazing!




This patient came in with a failing tooth supported bridge and partial dentures that didn't fit. We reconstructed her smile and bite with a full set of dental implants. This treatment was performed in conjunction with a local oral surgeon due to the complex medical history of our patient. The results speak for themselves! A gorgeous smile for an amazing person.


Our lovely patient came in with a broken tooth. Rather than only fix that single tooth, she chose to improve her smile by placing crowns on the other three front teeth. The final result says it all!


Grinding your teeth can cause chipping of the enamel and wear patterns to develop. In one visit, we repaired this patient's teeth and took 3D digital impressions for a nightguard to help prevent it from happening again in the future. No numbing was needed for this procedure.


Our patient wanted to improve the appearance of her smile. But replacing all the old crowns and fillings with all new porcelain crowns with the correct proportions, the result looks natural and beautiful.


Our patient was unhappy with the irregular appearance of her existing teeth, which were a combination of crowns, bonding, and a partial denture. We used a high strength ceramic material called zirconia to make new crowns and a fixed bridge. The patient loves it!


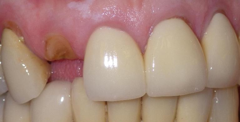
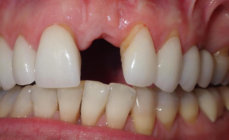
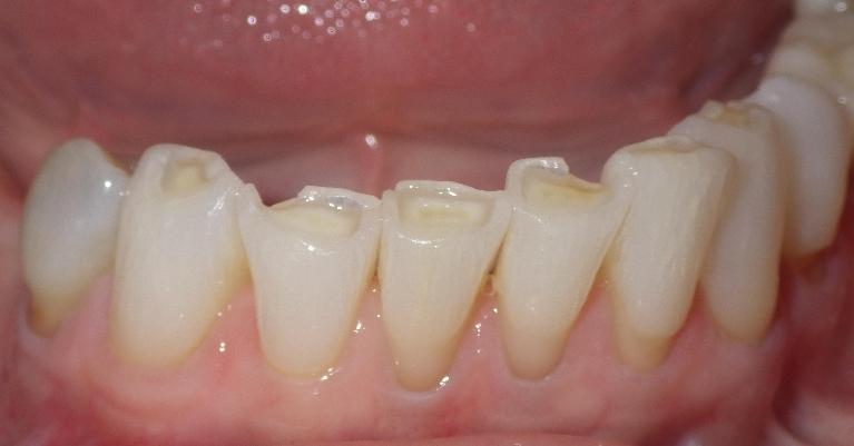
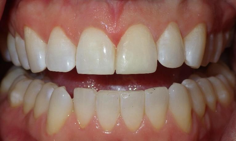
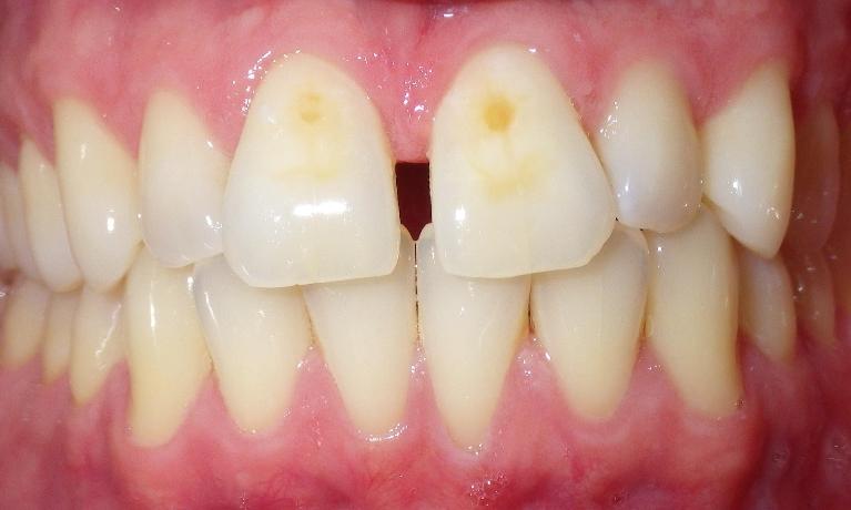
This young patient suffered trauma to her front teeth. Eventually one needed to be replaced with a dental implant. We also replaced an old crown on her adjacent front tooth to match the shape and color. These new restorations are indistinguishable from natural teeth.


In this amazing transformation, dental implants were utilized to replace the patient's old partial denture and broken down teeth. The final result is a fixed (non-removable) implant bridge on the upper jaw and a snap-in, removable denture with implants on the lower jaw.




Our patient wasn't happy with the current appearance of her teeth due to wear, chipping, and a space between the two front teeth. We placed 4 ceramic/porcelain veneers and added some bonding to the edges of the canines (eye teeth). The end result make the smile appear more youthful and bright.


Our patient was unhappy with the mismatching appearance of her front teeth. We placed 8 ceramic crowns (zirconia) which gives her a new confidence when smiling. The crowns are customized in size, shape and color to give a natural and age-appropriate look.




Our patient wanted to fix her front teeth. She had a history of old fillings and her teeth weren't the color she desired. After careful planning and discussion, we settled on two veneers and 4 crowns. The results speak for themselves. Beautiful!




This is one of the most dramatic before and after photos we have ever done. Working with a talented denture lab technician can make a huge difference. A new smile can completely change someone's appearance, making them look 10 years younger. They look like beautiful, real teeth!






Just four front teeth can make a major difference in your smile. In this case, porcelain (or ceramic) crowns (no metal) were placed on the front teeth. What a difference!






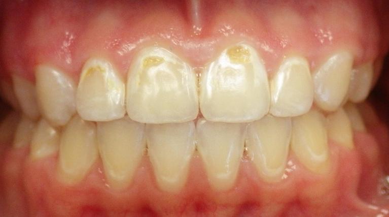
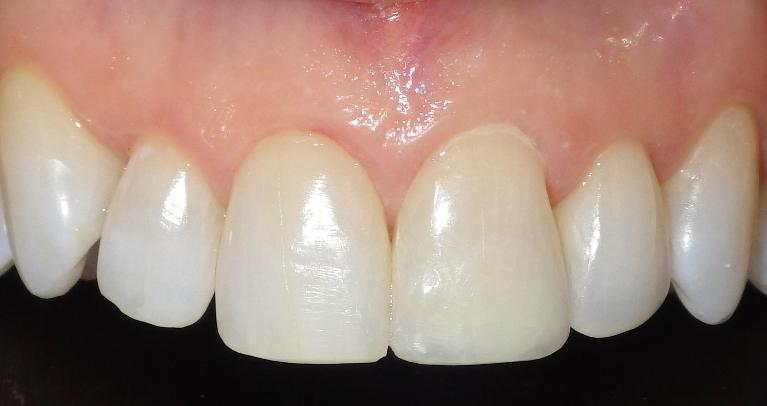
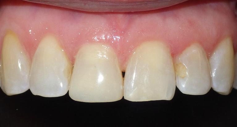
Chipped and worn teeth can typically be easily repaired with composite bonding in one appointment with no anesthetic. Bonding with composite resin is a very conservative treatment option that is easily repairable as well.



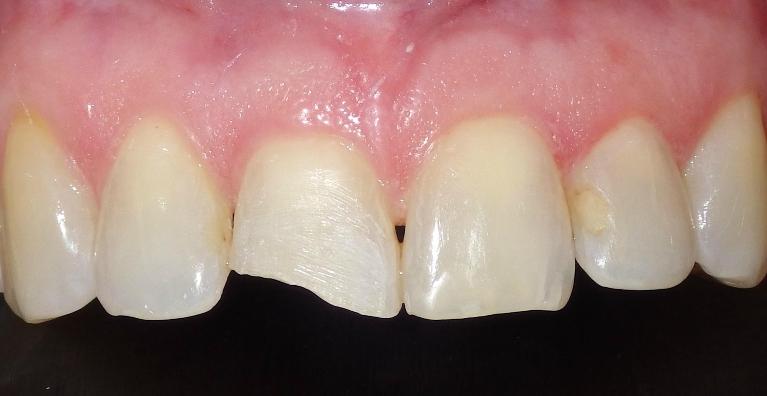
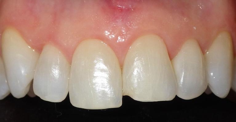
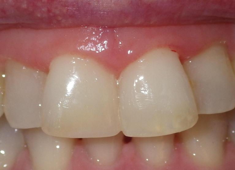
This patient chipped the edges of her otherwise beautiful front teeth. A simple one visit bonding procedure with no local anesthetic was performed to restore the teeth. The bonding blends in seamlessly with the surrounding tooth structure. Bonding can last for many years and is easy to repair if needed.





This is a great example of the power of dental implants. Our patient couldn't chew on the right side due to missing teeth. We placed two dental implants and restored them with natural looking, individual crowns. Now she can eat anything she wants on both sides of her mouth and can brush and floss around the implant like her other teeth.





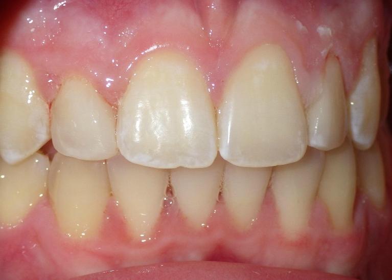
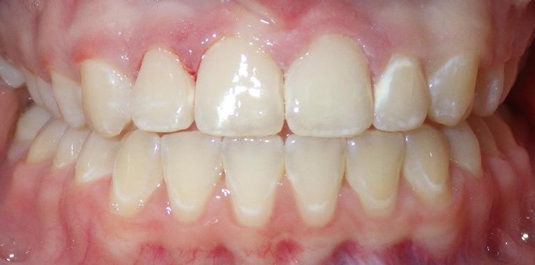
Many people have worn down their teeth over the years. Although it sometimes takes more extensive dental work, many cases can be treated conservatively in one appointment with composite bonding. This case shows how the unsightly worn teeth can look brand new after the procedure. This took about an hour and NO NOVOCAINE was needed!



