Center for Progressive Dentistry
A Great Dentist

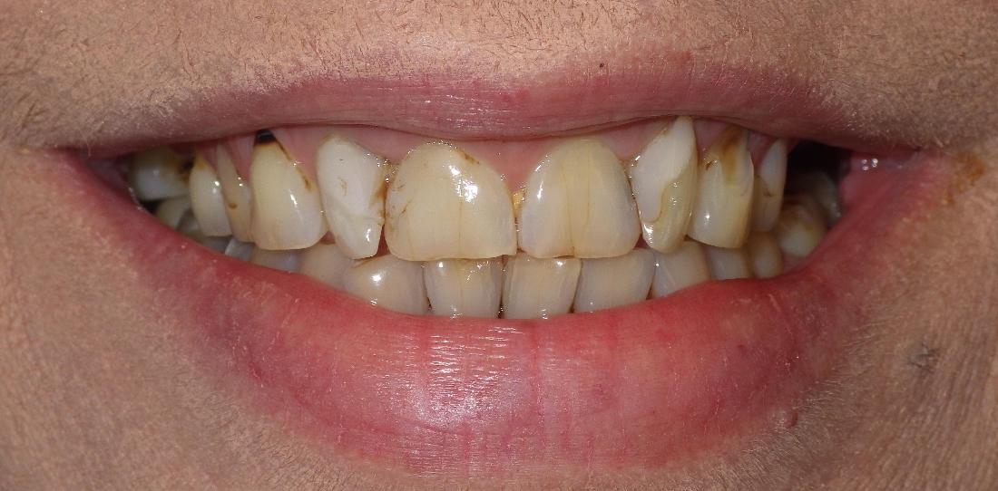
Full Smile Makeover

In this case, Dr. Scardella used highly esthetic crowns to complete a smile makeover. This process was a life changing experience for our patient. The results are stunning!
Discolored and cracked teeth | Dentist Duxbury MA Dental crowns to correct discolored teeth | Duxbury MA Dentist
Not finding what you need?
If you have difficulty using our website, please email us or call us at (781) 934-9444
View the ADA Accessibility Statement