Center for Progressive Dentistry
A Great Dentist

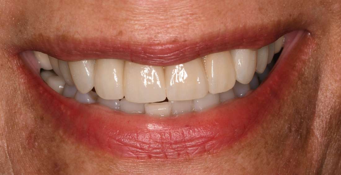
Porcelain crowns to rejuvenate a smile

Our patient wanted to improve the appearance of her smile. But replacing all the old crowns and fillings with all new porcelain crowns with the correct proportions, the result looks natural and beautiful. 

Getting an appointment is fast and easy!
If you have difficulty using our website, please email us or call us at (781) 934-9444
View the ADA Accessibility Statement