Center for Progressive Dentistry
A Great Dentist

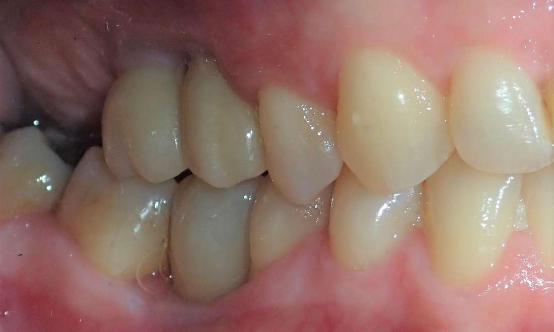
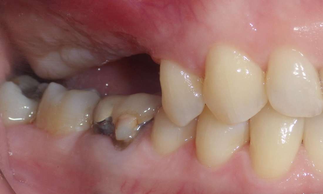
Missing back teeth replaced with Dental Implants

This is a great example of the power of dental implants. Our patient couldn't chew on the right side due to missing teeth. We placed two dental implants and restored them with natural looking, individual crowns. Now she can eat anything she wants on both sides of her mouth and can brush and floss around the implant like her other teeth.

Related Services:

Dental Implants
Have Questions? Get in Touch
If you have difficulty using our website, please email us or call us at (781) 934-9444
View the ADA Accessibility Statement