Smile Gallery: Crowns & Bridges
Take a look at a sample of the work we offer at Center for Progressive Dentistry. All photographs are of actual patients treated by Dr. Scardella and Dr. Santelli. We create beautiful smiles with bonding, crowns, implants, veneers, and dentures. Call to schedule a consultation if you want to smile like our happy patients.


Our patient had been self-conscious about his smile for a long time. He finally made the choice to invest in his smile. Dr. Scardella used zirconia crowns to achieve beautiful and long-lasting results. Zirconia is a ceramic material with superior strength and elegant aesthetics. The case was custom designed by our long-time dental laboratory partners at Sunrise Dental Lab in California.


It's amazing what treating just six teeth can do to a smile. These crowns are made out of a ceramic material called zirconia, which is just a strong as it is beautiful. We partner with a premier dental lab that helps us deliver results like this consistently.


Our patient's teeth were severely worn and broken. Dr. Scardella removed any hopeless teeth and replaced them with dental implants, while the remaining teeth were restored with porcelain crowns.


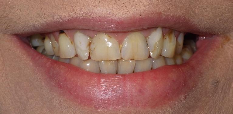
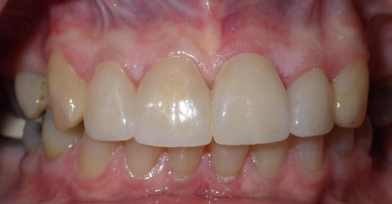
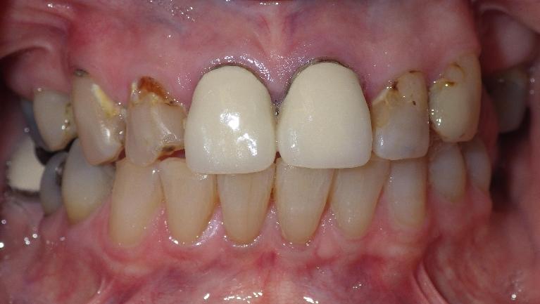
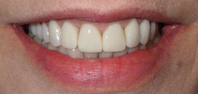
Our lovely patient came in with a broken tooth. Rather than only fix that single tooth, she chose to improve her smile by placing crowns on the other three front teeth. The final result says it all!


Our patient wanted to improve the appearance of her smile. But replacing all the old crowns and fillings with all new porcelain crowns with the correct proportions, the result looks natural and beautiful.


Our patient was unhappy with the mismatching appearance of her front teeth. We placed 8 ceramic crowns (zirconia) which gives her a new confidence when smiling. The crowns are customized in size, shape and color to give a natural and age-appropriate look.


Just four front teeth can make a major difference in your smile. In this case, porcelain (or ceramic) crowns (no metal) were placed on the front teeth. What a difference!

